Da wir eine Mehrbehandlerpraxis sind, können wir für Sie alle gängigen Bereiche der Zahnmedizin auf höchstem Niveau abdecken.
Die gesamte Zahnmedizin unter einem Dach.
In unserer Praxis in Opfikon-Glattbrugg Uster decken wir nahezu das komplette Spektrum der modernen Zahnmedizin ab. Überweisungen an externe Spezialisten sind nur in sehr seltenen Fällen erforderlich. Für Sie bedeutet das eine durchgängige Betreuung durch vertraute Ansprechpartner und eine Behandlung ohne unnötige Wege.
Unsere Leistungen umfassen unter anderem:
• Dentalhygiene und professionelle Zahnreinigung
• Vorsorgeuntersuchungen und langfristige Betreuung
• Behandlung von Angstpatientinnen und Angstpatienten
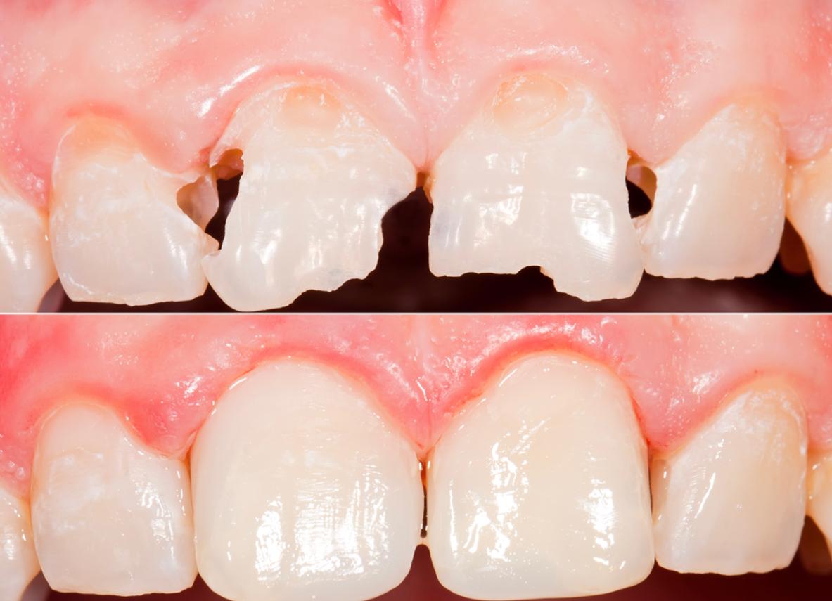
• Ästhetische Zahnmedizin und hochwertiger Zahnersatz
• Implantologie und oralchirurgische Eingriffe
• Parodontologie (Zahnfleischbehandlungen)
• Wurzelbehandlungen (Endodontie)
• Kinderzahnmedizin und Familienzahnmedizin
• Notfallbehandlungen bei akuten Zahnschmerzen
Egal, ob Routinekontrolle, komplexe Behandlung oder akute Beschwerden — Sie erhalten bei uns alles aus einer Hand.
Einfühlsame Behandlung für Angstpatienten
Viele Menschen in Uster und Umgebung leiden unter Zahnarztangst oder haben negative Erfahrungen gemacht. Wir begegnen dieser Situation mit Verständnis, Geduld und einem klar strukturierten Vorgehen.
Wir nehmen uns Zeit für Gespräche, erklären jeden Behandlungsschritt verständlich und gehen auf Ihr persönliches Tempo ein. Niemand wird gedrängt oder beurteilt. Ziel ist es, Vertrauen aufzubauen und Ihnen langfristig eine stressfreie zahnmedizinische Betreuung zu ermöglichen.
Digitale Verfahren verkürzen die Behandlungszeit, vermeiden unangenehme Abdrücke und reduzieren Stress deutlich.
Gerade für Angstpatienten sowie Menschen mit starkem Würgereiz bietet unsere moderne Ausstattung einen spürbar entspannteren und komfortableren Zahnarztbesuch.
















