Invisalign
Aligner in Opfikon-Glattbrugg & Uster

Dein Lachen AG bei Zürich

Ein Lächeln, das Ihnen steht

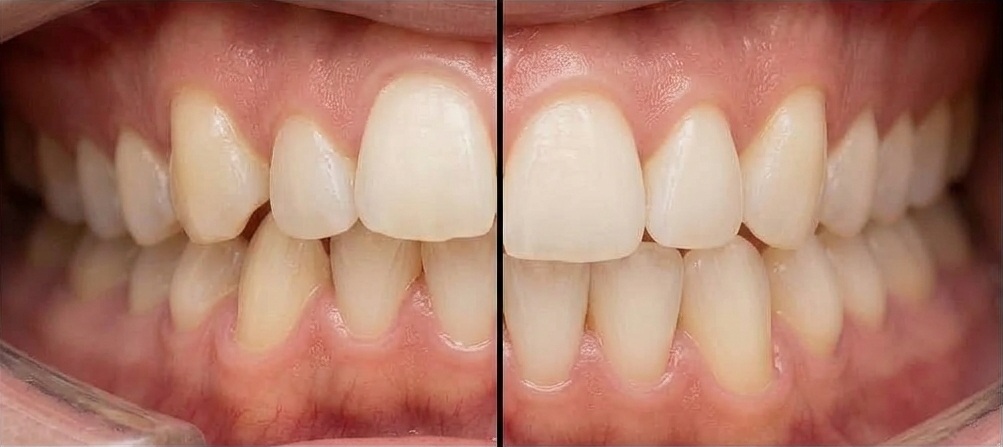
Ein schönes, gerades Lächeln wirkt sympathisch, selbstbewusst und offen. Mit Invisalign-Aligner steht Ihnen eine moderne, nahezu unsichtbare Lösung zur Korrektur von Zahnfehlstellungen zur Verfügung. Als weltweit führendes System mit transparenten Zahnschienen gewinnt Invisalign auch in der Schweiz immer mehr an Beliebtheit – bei Erwachsenen wie bei Jugendlichen. Auch in unseren Praxen in Opfikon-Glattbrugg und Uster bieten wir diese Behandlung an.

Sanfte Zahnkorrektur mit Invisalign

Seit über 20 Jahren ermöglicht das innovative Invisalign-System, Zahnfehlstellungen schonend, präzise und nachhaltig zu korrigieren. In vielen Fällen kann es feste und unangenehme Zahnspangen („Gartenhag“) ersetzen. Je nach Ausgangssituation sind erste sichtbare Erfolge bereits nach 3 Monaten möglich – insbesondere bei kleineren Korrekturen.
Die transparenten Schienen sind im Alltag kaum sichtbar und bieten ein hohes Mass an Komfort.

Individuell geplant – perfekt angepasst

Ihre Invisalign-Schienen werden individuell für Sie angefertigt. Unsere zertifizierte Invisalign-SpezialistInnen erstellen mithilfe eines präzisen 3D-Scans ein digitales Modell Ihrer Zähne. Auf dieser Basis entstehen passgenaue Schienen, die Ihre Zähne Schritt für Schritt in die gewünschte Position bewegen.
Da die Schienen herausnehmbar sind, bleiben Sie im Alltag völlig flexibel – beim Essen, Sprechen und bei der Zahnpflege.

Mehr als schöne Zähne

Gerade Zähne sind nicht nur ästhetisch ansprechend, sondern auch gesünder. Eine verbesserte Zahnstellung erleichtert die Mundhygiene und kann das Risiko für Karies und Zahnfleischerkrankungen reduzieren. 60 % der befragten Dentalhygienikerinnen stimmen zu, dass Invisalign Patienten weniger Zahnbelag und Zahnstein haben.

Das Ergebnis schon vorab sehen

Ein besonderes Highlight ist die digitale Simulation: Bereits vor Behandlungsbeginn können Sie den genauen Verlauf und das zu erwartende Ergebnis realistisch am Bildschirm sehen. So wissen Sie von Anfang an, wohin die Reise geht.

Das Lächeln, das Sie sich wünschen, ist näher, als Sie denken. Vertrauen Sie auf Invisalign – wie bereits über 5 Millionen Menschen weltweit – und gönnen Sie sich das Lächeln, das wirklich zu Ihnen passt.

Dr. med. Dent. Azita Kananpour

"Wir möchten nicht nur Symptome behandeln – sondern Zähne erhalten."
- Inhaberin von Dein Lachen AG

Opfikon-Glattbrugg
Direkt an der Autobahn 51

Püntenstr. 1
8152 Opfikon-Glattbrugg

+41 44 810 55 11
info@zahnarzt-opfikon-glattbrugg.ch

Termin online buchen

Uster
Direkt am Bahnhof

Brunnenstr. 9
8610 Uster

+41 44 940 39 88
hallo@dein-lachen.ch

Termin online buchen

Weitere Behandlungen
Mit diesen Leistungen können wir Ihnen helfen

Da wir eine Mehrbehandlerpraxis sind, können wir für Sie alle gängigen Bereiche der Zahnmedizin auf höchstem Niveau abdecken.

Die gesamte Zahnmedizin unter einem Dach.

In unserer Praxis in Opfikon-Glattbrugg Uster decken wir nahezu das komplette Spektrum der modernen Zahnmedizin ab. Überweisungen an externe Spezialisten sind nur in sehr seltenen Fällen erforderlich. Für Sie bedeutet das eine durchgängige Betreuung durch vertraute Ansprechpartner und eine Behandlung ohne unnötige Wege.
Unsere Leistungen umfassen unter anderem:

• Dentalhygiene und professionelle Zahnreinigung
• Vorsorgeuntersuchungen und langfristige Betreuung
• Behandlung von Angstpatientinnen und Angstpatienten
• Ästhetische Zahnmedizin und hochwertiger Zahnersatz
• Implantologie und oralchirurgische Eingriffe
• Parodontologie (Zahnfleischbehandlungen)
• Wurzelbehandlungen (Endodontie)
• Kinderzahnmedizin und Familienzahnmedizin
• Notfallbehandlungen bei akuten Zahnschmerzen

Egal, ob Routinekontrolle, komplexe Behandlung oder akute Beschwerden — Sie erhalten bei uns alles aus einer Hand.

Einfühlsame Behandlung für Angstpatienten
Viele Menschen in Uster und Umgebung leiden unter Zahnarztangst oder haben negative Erfahrungen gemacht. Wir begegnen dieser Situation mit Verständnis, Geduld und einem klar strukturierten Vorgehen.
Wir nehmen uns Zeit für Gespräche, erklären jeden Behandlungsschritt verständlich und gehen auf Ihr persönliches Tempo ein. Niemand wird gedrängt oder beurteilt. Ziel ist es, Vertrauen aufzubauen und Ihnen langfristig eine stressfreie zahnmedizinische Betreuung zu ermöglichen.

Digitale Verfahren verkürzen die Behandlungszeit, vermeiden unangenehme Abdrücke und reduzieren Stress deutlich.
Gerade für Angstpatienten sowie Menschen mit starkem Würgereiz bietet unsere moderne Ausstattung einen spürbar entspannteren und komfortableren Zahnarztbesuch.

Zahnarztangst

Einfühlsame Betreuung für Angstpatienten

Lachgasbehandlung

Entspannte Behandlung ohne Angst

Kinderzahnarzt

Angenehme Zahnpflege für Kinder

Zahnimplantat

Feste dritte Zähne

Prophylaxe / Dentalhygiene

Schutz vor Karies und Belägen

Parodontitis

Gesundes Zahnfleisch ohne Blutungen

Knirschschiene

Entspannung für Kiefer und Zähne

Zahnfüllung

Schluss mit Schmerz und Löchern

Zahnkrone

Rundumschutz für beschädigte Zähne

Prothese

Funktioneller Ersatz mehrerer Zähne

Weisheitszahnentfernung

Vermeidung von Entzündungen und Druck

Veneers

Perfekte Zahnform & Farbe

Invisalign

Korrektur von Zahnfehlstellungen

Bleaching

Strahlend weiße Zähne

Wurzelbehandlung

Rettung des eigenen Zahnes